
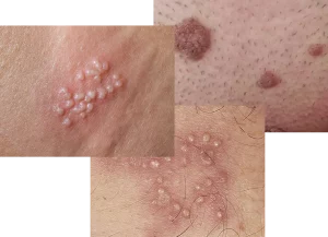
زگیل های تناسلی چگونه است؟
زگیل تناسلی به شکل زائده هایی گوشتی در اطراف یا داخل اندام های جنسی بدن به رنگ صورتی و قرمز تشکیل می شوند. زگیل ها دارای شکل هندسی نامنظم و مانند یک گل کلم هستند برخی از آنها هم بسیار ریز و غیر قابل مشاهده هستند. زگیل ها معمولا به صورت سه تایی یا چهارتایی ظاهر می شوند و خیلی زود بزرگ می شوند و به قسمت های دیگری از اندام تناسلی گسترش پیدا می کنند. زگیل های تناسلی اصولا هیچ گونه دردی ندارند اما ممکن است در برخی از مواقع درد خفیفی همراه با سوزش و خارش در اندام تناسلی ایجاد شود.
خطر ابتلا به زگیل تناسلی در چه افرادی بیشتر است؟
هر فردی که رابطه جنسی واژینال، آنال یا اورال داشته است، در معرض ابتلا به زگیل تناسلی قرار دارد. احتمال ابتلا به زگیل تناسلی در زنان و مردان یکسان است. با این حال، کسانی بیشتر در معرض این ویروس قرار دارند که علاوه بر روابط در سنین پایین، شرکای جنسی متعددی دارند و در روابط جنسی خود بهداشت را رعایت نمیکنند. عواملی که خطر ابتلا به زگیل تناسلی را افزایش میدهند عبارتند از:
- داشتن شرکای جنسی متعدد: هر چه تعداد شرکای جنسی بیشتر باشد، خطر ابتلا به زگیل تناسلی نیز بیشتر است.
- داشتن رابطه جنسی در سنین پایین: نوجوانان و جوانان بیشتر در معرض ابتلا به زگیل تناسلی هستند.
- داشتن بیماری های مقاربتی دیگر: افراد مبتلا به بیماری های مقاربتی دیگر، مانند سوزاک، کلامیدیا و ایدز، بیشتر در معرض ابتلا به زگیل تناسلی هستند.

علائم زگیل های تناسلی
زگیل تناسلی در زنان در داخل و خارج واژن ، دهانه ی رحم و مقعد بروز می کند و در مردان نیز زگیل روی نوک یا ساقه آلت تناسلی و روی بیضه ها نمایان می شود. چنانچه فردی رابطه جنسی دهانی داشته باشد ، امکان دارد زگیل در داخل دهان و گلوی آن ظاهر شود. افراد با مشاهده اولین دسته از زگیل ها برای معاینه باید به متخصص زنان خوب در تهران مراجعه کنند. پزشک برای شناسایی نوع زگیل و بیماری های مقاربتی آزمایش هایی از بیمار میگیرد که عبارتند از :
- معاینه اندام تناسلی برای تشخیص زگیل تناسلی زنان یا مردان
- معاینه لگن ، رکتوم و آزمایش پاپ اسمیر
- بیوپسی از بافت دهانه ی رحم برای شناسایی بیماری سرطان دهانه رحم

زگیل تناسلی از چه طریق منتقل می شود؟
به طور کلی زگیل تناسلی از طریق تماس مستقیم پوست فرد مبتلا به ویروس اچ پی وی با افراد دیگر قابل انتقال است ؛ البته انتقال ویروس می تواند آشکار بوده یا در برخی موارد به صورت پنهان منتقل گردد. لازم به ذکر است که اصلی ترین راه انتقال این بیماری ، از طریق مقاربت جنسی می باشد.
چطور بفهمیم مبتلا به زگیل تناسلی هستیم؟
بلافاصله بعد از برقراری رابطه جنسی با شریک جنسی آلوده به ویروس hpv ، این ویروس منتقل می شود. ویروس اچ پی وی پس از انتقال می تواند موجب تشکیل زگیل شده و به وضوح قابل مشاهده باشد ، اما در برخی موارد ممکن است هیچ گونه علائم ظاهری ای ایجاد نکرده و سبب ایجاد زگیل نشود.
- زگیل تناسلی در مردان: به صورت توده های گوشتی یا زگیل هایی در نواحی مجاور اندام جنسی یا مقعد خود را نشان می دهد ؛ این در حالی است که فرد قبلا این عارضه را در ناحیه مقعد و آلت نداشته است. توجه داشته باشید که زگیل تناسلی در آقایان دردی به همراه ندارد اما امکان دارد ایجاد خارش نماید.
- زگیل تناسلی در زنان: می تواند در داخل رحم یا اطراف واژن ، کانال رحم ، روی دهانه رحم و اطراف یا داخل مقعد ، روی کشاله ران و در برخی موارد نادر در داخل دهان یا گلو تشکیل شود. زگیل تناسلی در خانم ها معمولا بسیار ظریف است اما ممکن است به شکل خوشه های بزرگ نیز دیده شود. گاها زگیل تناسلی در زنان قابل رویت نمی باشد ، زیرا تمامی عفونت های منتقله از طریق ویروس اچ پی وی به تشکیل زگیل تناسلی منتج نمی شوند.
اقداماتی برای درمان زگیل تناسلی در تهران
ویروس زگیل تناسلی هیچگاه از بین نمی رود. اما بهترین متخصص زنان تهران برای برداشتن زگیل می تواند از لیزر ، داروهای شیمیایی یا انجماد استفاده کند. زمانی که اندازه ی زگیل ها بزرگ باشند ، درمان سخت می شود از این رو دکتر زنان از روش جراحی برای درمان استفاده می کند. زمانی که متوجه شدید که مبتلا به زگیل شدید ، باید تا حد امکان اندام تناسلی خود را خشک نگه دارید. فقط لباس های زیر نخی بپوشید ، لباس شما نباید به بدن چسبیده شود. سعی کنید درمان زگیل خود را در اسرع وقت آغاز کنید و معاینات سالانه برای غربالگری سرطان را انجام دهید. چنان چه درمان خود را به تاخیر بیندازید ، امکان دارد بیماری به صورت سرطان دهانه رحم ، رکتوم و آلت تناسلی بروز کند.
پیشگیری از زگیل های تناسلی
برخی از عوامل سبب می شوند شما بیشتر از سایرین درگیر ویروس hpv شوید. این عوامل عبارتند از : داشتن شریک جنسی بیمار یا برقراری ارتباط جنسی با بیش از یک نفر ، بارداری ، ضعف در سیستم ایمنی بدن ، کشیدن سیگار. بهترین روش پیشگیری از ابتلا به زگیل این است که با فردی ارتباط جنسی داشته باشید که مبتلا به HPV نباشد. یکی دیگر از روش های محافظتی استفاده از کاندوم است ؛ البته کاندوم ها نمی توانند اطراف ناحیه ی تناسلی را پوشش دهند. برای مبارزه با ویروس HPV سه نوع واکسن تولید شده است که این واکسن ها می توانند حدود 70 تا 90 درصد محافظت در بدن ایجاد کنند. توصیه دکتر درویش زاده ، متخصص زنان و زایمان خوب در تهران به شما این است که حتما این واکسن ها را پیش از آغاز اولین رابطه جنسی و تا قبل از25 سالگی تزریق نمایید.
روش های تشخیص بیماری زگیل تناسلی
همانطور که گفته شد، در بیشتر موارد، زگیل تناسلی با معاینه بصری توسط پزشک قابل تشخیص است. پزشک با معاینه ناحیه تناسلی، مقعد یا دهان می تواند وجود زگیل ها را تشخیص دهد.
با این حال، در برخی موارد، ممکن است پزشک آزمایش های دیگری را نیز برای تأیید تشخیص انجام دهد. این آزمایش ها عبارتند از:
پاپ اسمیر: این آزمایش برای بررسی سلول های دهانه رحم انجام می شود. در صورت مثبت بودن پاپ اسمیر، ممکن است پزشک کولپوسکوپی یا بیوپسی را برای بررسی دقیق تر سلول ها انجام دهد.
کولپوسکوپی یک روش تشخیصی است که در آن از یک دستگاه با بزرگنمایی بالا برای بررسی دهانه رحم استفاده می شود. اگر پزشک در طی کولپوسکوپی زگیل یا سایر ناهنجاری های دهانه رحم را مشاهده کند، ممکن است بیوپسی را انجام دهد. بیوپسی دهانه رحم یک روش جراحی است که در آن یک نمونه کوچک از بافت دهانه رحم برداشته می شود. این نمونه برای بررسی زیر میکروسکوپ به آزمایشگاه ارسال می شود.
آزمایش خون: این آزمایش برای بررسی وجود ویروس HPV در خون انجام می شود. این آزمایش می تواند برای تشخیص عفونت HPV در مردان و زنان استفاده شود.
آزمایش کشت: این آزمایش برای شناسایی نوع ویروس HPV که باعث زگیل شده است انجام می شود. این آزمایش معمولاً زمانی انجام می شود که پزشک به علت دیگری مشکوک باشد.
پاسخ به سوالات متداول زگیل تناسلی
ماندگاری زگیل تناسلی چقدر است ؟
مدت زمان ماندگاری این زائده از فردی به فرد دیگر متفاوت است. در برخی از افراد ، زگیل های تناسلی به دلیل سیستم ایمنی قوی فرد ، بدون درمان خاصی از بین خواهند رفت. به خاطر داشته باشید که حتی اگر زگیل ها از روی بدن ناپدید شوند ، ویروس از بدن خارج نخواهد شد و هرچند وقت یکبار به دلیل تغییراتی که در بدن ایجاد می شود ، امکان بروز زگیل وجود دارد. ویروس hpv همیشه در بدن فرد فعال خواهد بود ؛ بدین ترتیب زمانی که فرد رابطه ی جنسی برقرار می کند ، امکان سرایت ویروس وجود دارد و آزمایشی برای تشخیص زمان عدم سرایت پذیری وجود ندارد. برای درمان زگیل تناسلی خود هرگز از روش های خانگی استفاده نکنید. داروهایی که برای درمان زگیل در سایر نقاط بدن هستند را در دستگاه تناسلی استفاده نکنید ؛ زیرا ترکیبات این دارو ها بسیار قوی هستند و ممکن است موجب آسیب رسیدن به دستگاه تناسلی شوند.
روش های درمان زگیل تناسلی در تهران
روشها و تکنیک های تعددی برای درمان و از بین بردن زگیل تناسلی وجود دارد که عبارت اند از:
درمان با لیزر :
یکی از روش های مناسب برای درمان زگیل تناسلی در تهران استفاده از لیزر می باشد. از این روش درمانی می توان برای درمان زگیل هایی به تعداد زیاد و در کنار هم استفاده کرد. درمان با لیزر نسبت به سایر روش های درمانی هزینه ی بالاتری دارد. بیمار در کمتر از نیم ساعت به صورت کاملا سرپایی با لیزر درمان می شود و نیازی به بستری شدن ندارد مدت زمان نقاهت درمان با لیزر بسیار کوتاه است و بیمار بلافاصله می تواند به محل کار خود بازگردد.
درمان کرایوتراپی :
در این روش برای درمان زگیل تناسلی از فریز کردن استفاده می شود. در واقع انجماد موجب از بین رفتن زگیل ها خواهد شد. دو سوم بیماران از این روش درمانی رضایت دارند و زگیل های آن ها بازگشت نداشته است.
درمان دارویی :
چنانچه این عارضه کوچک باشد ، بهترین متخصص زنان تهران ، درمان دارویی را تجویز کرده و مناسب می داند. پماد آلدارا و پودوفیلاکس از جمله کرم هایی هستند که فقط برای قسمت های خارجی دستگاه تناسلی استفاده می شوند. هرگز این داروها را خودسرانه تهیه و مصرف نکنید.

جراحی زگیل تناسلی و درمان با الکتروکوتر
جراحی با لیپ : گاهی اوقات پزشکان برای از بین بردن زگیل تناسلی از روش جراحی استفاده می کنند. در این روش فقط می توان زگیل های روی دستگاه تناسلی را برداشت و برای برداشتن زگیل های داخل واژن و مقعد باید از روش لیزر درمانی استفاده کرد. در این روش زائده های گوشتی به صورت سنتی بریده می شوند و محل بریده شده بخیه زده می شود.
درمان با الکتروکوتر : در این روش دکتر زنان تهران با استفاده از جریان الکتریکی زائده های نرم گوشتی را از بین می برد. اما از این روش نمی توان برای از بین بردن زگیل های سفت و زبر استفاده کرد.
آیا زگیل تناسلی در بارداری مشکل ایجاد می کند؟
زگیل تناسلی در موارد بسیار نادری ممکن است موجب بروز مشکل در دوره حاملگی یا زمان زایمان شود. خانم هایی که زگیل تناسلی قابل رویت ندارند ، طی بارداری و حین زایمان معمولا مشکلی نخواهند داشت. چنانچه در دوران بارداری به سر می برید ، در خصوص گزینه های درمانی مناسب با پزشک خود مشورت کنید چرا که ممکن است در این دوران زگیل ها با تغییرات زیر مواجه شوند :
- امکان دارد سایز آن ها بزرگتر شده یا دچار خونریزی شوند.
- در موارد معدودی ممکن است این زگیل ها در مجاری ادراری رشد کرده باشند ، در چنین شرایطی فرد در هنگام دفع ادرار با مشکل روبرو خواهد شد.
- ابتلا به زگیل تناسلی در ناحیه واژن ، منجر به کاهش خاصیت کشسانی یا الاستیکی جداره واژن شده و به این ترتیب زایمان را با مشکل مواجه می سازد.
- چنانچه کانال واژن درگیر زگیل تناسلی شده باشد ، انجام زایمان طبیعی ممنوعیت یافته و فرد باید از طریق سزارین وضع حمل کند.

دکتر فرزانه درویش زاده ؛ جراح و متخصص زنان ، زایمان و نازایی در تهران و عضو انجمن زنان و مامایی ایران و دارای بورد تخصصی لاپاراسکوپی می باشند. ایشان به عنوان بهترین متخصص هیستروسکوپی و لاپاراسکوپی در استان تهران شناخته می شوند. ضمنا دکتر درویش زاده عضو انجمن FMF انگلستان و عضو کالج زیبایی زنان آمریکا نیز هستند. ایشان در زمینه جراحی های درمانی و زیبایی زنان و مشاوره و درمان ناباروری جزو پیشتازان در این عرصه می باشند.




